Monday, 20 Apr 2026

خلط خونی نشانه چیست؛ از علت تا درمان

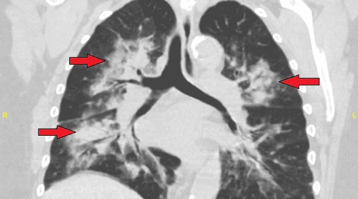
تشخیص خلط خونی از روی عکس قفسه سینه

[ad_1]

خلط خونی واژه‌ای پزشکی است که برای توصیف سرفه همراه با خون از ریه و لوله‌های برونش منفعت گیری می‌بشود. این خلط امکان پذیر حاوی لکه‌های کوچک خون یا کاملا پر از خون باشد. می‌دانید خلط خونی نشانه چیست و چرا تشکیل می‌بشود؟ راه تشخیص و درمان آن چیست؟‌ برای کسب اطلاعات زیاد تر در این باره تا انتهای مقاله با ما همراه باشید.

خلط خونی چیست؟

وقتی‌ که خون از ریه و لوله‌های برونشی بالا بیاید به آن خلط یا سرفه خونی (hemoptysis) می‌گویند. به این علت وجود خون در بزاق به‌علت خون‌ریزی دهان، مسیر هوایی یا استفراغ خونی از لوله گوارش خلط خونی نیست. این عارضه طبق معمول زندگی را تهدید نمی‌کند، اما اگر سرفه خونی دارید، برای بازدید زیاد تر به پزشک مراجعه کنید. این چنین در برخی شرایط باید با اورژانس (۱۱۵) تماس بگیرید، از جمله:

  • خلط کف‌آلود همانند مایع یا لخته؛
  • خون قرمز روشن یا صورتی؛
  • ابتلا به بیماری ریوی؛
  • نداشتن حالت تهوع یا استفراغ.

بیماری‌های شبیه

امکان پذیر این عارضه با بیماری‌های دیگر نادرست گرفته بشود. به همین علت بهتر است با انواع آنها آشنا شویم:

  • خلط خونی: خلطی که از ریه بالا می‌آید. رنگ آن قرمز روشن یا صورتی و کف‌آلود است.
  • شبه خلط خونی (pseudohemoptysis): همانند خلط خونی است و تفاوت آنها تنها با آزمایش اشکار می‌بشود. این خلط از مجرای تنفسی فوقانی یا تکه فوقانی مجرای گوارشی است.
  • استفراغ خونی (hematemesis): خون آن تیره‌تر و همانند دانه‌های قهوه است. امکان پذیر مقداری با غذا ترکیب شده باشد و از مجرای گوارشی بالا می‌آید. این چنین طبق معمول فرد دچار حالت تهوع و استفراغ می‌بشود.

انواع خلط خونی

خلط خونی با دقت مقدار خونی که طی ۲۴ ساعت بالا می‌آید، به انواع مختلفی تقسیم می‌بشود از جمله:

  • خون زیاد یا تهدیدکننده زندگی: کارشناسان گوناگون معیارهای مختلفی دارند و بالا‌آوردن ۱۰۰ میلی‌لیتر تا ۶۰۰ میلی‌لیتر یا نزدیک به یک پیمانه خون زیاد محسوب می‌بشود.
  • خون متوسط: در ۲۴ ساعت سرفه حاوی ۲۰ تا ۲۰۰ میلی‌لیتر خون است.
  • خون کم یا خفیف: کمتر از ۲۰ میلی‌لیتر خون یا کمتر از یک قاشق چای‌خوری خون بالا می‌آید.

علت خلط خونی

یکی از شایع‌ترین علت‌های این عارضه عفونتی همانند برونشیت یا ذات‌الریه است. در این شرایط باید سرفه و تب داشته باشید. علت شایع دیگر برونشکتازی است، نوعی بیماری که به‌جهت آن مسیر هوایی بزرگ در ریه صدمه می‌بیند. در این مورد، به گمان زیاد عفونت مکرر قفسه سینه و سرفه زیاد دارید.

عوامل فرد دیگر هم در تشکیل خلط خونی نقش دارند، از جمله:

بعضی اوقات اوقات پزشک نمی‌تواند علت سرفه خونی را تشخیص دهد.

علائم خلط خونی

بسته به علت خلط خونی امکان پذیر علائم مختلفی ابراز کنند، از جمله:

زمان مراجعه به پزشک

اگر خون بسیاری بالا می‌آورید یا علائمی همانند درد قفسه سینه یا تنگی نفس دارید، با اورژانس (۱۱۵) تماس بگیرید. اگر مقدار مقداری خون در سرفه شما وجود دارد، سریع به پزشک مراجعه کنید.

تشخیص خلط خونی

خلط خونی با دقت به مقدار خون‌ریزی مهار می‌بشود. اگر زندگی فرد در خطر باشد، قبل از تشخیص، درمان سریع ملزوم است. برای تشخیص علت سرفه خونی پزشک چند سوال می‌پرسد، از جمله:

  • مقدار خونی که بالا می‌آورید؛
  • تعداد دفعاتی که سرفه خونی دارید؛
  • زمان‌وقتی که سرفه خونی دارید؛
  • دیگر علائمی که دارید.

به گمان زیاد پزشک درمورد داروها، بیماری قبلی یا سیگاری‌بودن شما سوال بپرسد. سپس پزشک علائم بیماری‌های مربوط به سرفه خونی را بازدید می‌کند. این چنین دمای بدن شما را برای بازدید عفونت می‌گیرد و بینی شما را بازدید می‌کند تا یقین بشود خون‌ریزی از بینی نیست. با دقت به شرایط، به گمان زیاد به عکس‌برداری پرتوی ایکس از قفسه سینه یا سی.تی اسکن نیاز دارید تا هر مشکلی تشخیص داده بشود. این چنین امکان پذیر به برونکوسکوپی نیاز داشته باشید. برونکوسکوپی روشی است که با آن درون مجاری هوایی و ریه دیده می‌بشود. اگر پزشک به وجود لخته خون در ریه شک کرده باشد، احتمالا اسکن تهویه-پرفیوژن ریه تجویز کند تا جریان هوا و جریان خون در ریه بازدید بشود.

امکان پذیر آزمایش‌های فرد دیگر هم انجام شوند، از جمله:

  • آزمایش خون؛
  • آزمایش ادرار برای تشخیص هماپتوز؛
  • بازدید پروفایل شیمیایی خون (بازدید الکترولیت‌های خون و کارکرد کلیه)؛
  • آزمایش انعقاد (بازدید مقدار لخته‌شدن خون)؛
  • گاز خون شریانی (بازدید اکسیژن و دی‌اکسیدکربن سرخرگ)؛
  • پالس اکسیمتری (بازدید مقدار اکسیژن خون).

درمان خلط خونی

نوع درمان با دقت به عامل ایجادکننده بیماری متفاوت است. برای مثال اگر عامل خلط خونی عفونت باکتریایی باشد، به گمان زیاد با آنتی‌بیوتیک درمان می‌بشود.

برونشیت طبق معمول خودبه‌خود و بدون درمان رفع می‌بشود. اگر برونشیت دارید و کمتر از یک هفته مقدار زیاد مقداری از خون در خلط شما وجود دارد، مشکل جدی نیست و می‌توانید صبر کنید تا بیماری رفع بشود.

درمان خلط خونی تهدیدکننده زندگی

اگر خلط خونی شدید باشد، امکان پذیر قبل از پیداکردن علت، از جراحی برای توقف خون‌ریزی منفعت گیری بشود. به این علت به گمان زیاد فرد در بیمارستان بستری می‌بشود و جراح ریه یا جراح قلب‌و‌عروق او را ملاقات می‌کند. درمان اولیه امکان پذیر شامل موارد مختلفی باشد، از جمله:

  • واردکردن لوله به مسیر هوایی؛
  • دادن اکسیژن اضافی؛
  • قراردادن بدن در حالتی که ریه دچار خون‌ریزی پایین‌تر از ریه دیگر باشد.

وقتی که پزشک علت خون‌ریزی را اشکار کند، امکان پذیر با چند روش آن را متوقف کند از جمله:

  • سرم نمکی سرد؛
  • داروهای تنگ‌کننده عروق همانند اپی‌نفرین و وازوپرسین؛
  • داروهای انعقاد خون همانند ترانکسامیک اسید؛
  • بالون‌های کوچک برای واردکردن سختی به ناحیه مورد نظر؛
  • لیزردرمانی؛
  • انعقاد پلاسمای آرگون؛
  • درمان انجمادی؛
  • از بین بردن آمبولی.

در موارد نادر، به جراحی نیاز است همانند:

  • برداشتن ناحیه مورد نظر از ریه؛
  • برداشتن همه ریه.

وقتی‌ که خطر از بین بردن بشود، امکان پذیر پزشک برای درمان سرفه خونی عمل های مختلفی انجام دهد از جمله:

  • تجویز آنتی‌بیوتیک برای درمان ذات‌الریه یا سل؛
  • شیمی‌درمانی یا پرتودرمانی برای سرطان ریه؛
  • استروئید برای بیماری‌های التهابی.

اگر به‌علت مصرف دارو غلظت خون دارید، به گمان زیاد به تزریق خون یا مصرف داروهای رقیق‌کننده خون نیاز خواهید داشت.

درمان خلط خونی متوسط

  • درمان بیماری عرصه‌ای می‌تواند خون‌ریزی را رفع کند. اگر برونشیت دارید، امکان پذیر پزشک آنتی‌بیوتیک و داروی ضدسرفه تجویز کند.
  • اگر سیگار می‌کشید، مصرف آن را متوقف کنید. این کار بهترین راه از بین بردن سرفه خونی و نگه داری سلامت شما است.

شما بگویید

شما چه مقدار با خلط خونی آشنایی دارید؟ آیا تابه‌حال به این عارضه مبتلا شده‌اید؟ در صورت تمایل، می‌توانید توانایی و نظرتان را در تکه ارسال دیدگاه برایمان بنویسید و این نوشته را از طریق شبکه‌های اجتماعی با دوستانتان به اشتراک بگذارید.

گامی برای تسلط شما بر توانایی‌های برقراری ربط


هشدار! این نوشته فقط جنبه آموزشی دارد و برای منفعت گیری از آن ملزوم است با پزشک یا متخصص وابسته مشورت کنید. اطلاعات زیاد تر

[ad_2]

منبع